
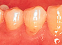
術前

術後
マイクロハイブリッドタイプコンポジットレジンなみの微細フィラーが生み出す優れた面滑沢性と、歯面処理材「キャビティーコンディショナー」の採用による強固な接着力が、長期にわたる安定した“審美修復”を可能にします。コンポジットレジンの審美性、ボンディング材の安定した接着力。そして、グラスアイオノマーの生体親和性、フッ素徐放性。これらを1つに集約させたニューマテリアル、それがフジII LCです。

写真はスターターセットです。
承認番号:20800BZZ00320000
フジII LCは歯科充填材料 I に適用、専用のキャビティーコンディショナーによる歯面処理を行うと加算点数が算定できます。
ジーシー独自の微粉砕技術によりガラスフィラーを4μm以下に抑えることに成功。コンポジットレジンに匹敵する高い透明性と面滑沢性を実現しました。
光重合型コンポジットレジンのようなプライミングやボンディング処理不要の簡単操作。光照射回数も1回で済み、照射後ただちに注水研磨に移れますので作業時間も短縮されます。
ポリアクリル酸水溶液に塩化アルミニウムを添加した歯面処理材「キャビティーコンディショナー」を採用。スメアー層を除去すると同時にフジII LCの接着に適した歯面に改質します。特に象牙質に対しては樹脂含浸層を形成し、グラスアイオノマーセメントのもつイオン結合と併せて歯質と強固に接着します。
優れた生体親和性によって生活歯はもちろん、小児歯科領域における充填にも安心して使用できます。
微細ガラスフィラーの増量を可能にしたフジII LCは、フッ素放出量もハイレベル。多量のフッ素が放出されますので、歯質の耐酸性の向上、2次カリエスの予防効果が期待できます。
Copyright © 2001 - 2017 MI21 all rights reserved.